首页  总揽  写作  简讯  散文  诗词  摄影  幻灯片  书画展  局矿快报  党群工作  安全专题  经验交流  通讯特写  厂商在线  矿建勘探  领导访谈  论文言论  人物展示  文教卫生  图片新闻  安监动态  煤企聚焦  焦点话题  事故快报  小说故事杂文  在线投稿 |  特约通讯员档案

美国科学家发现人体新器官 可帮助解释癌症扩散

煤炭资讯网 2018/3/30 9:04:56    天下事

     关于人体解剖学的所有知识,你不会期望医生在这一天和年龄发现一个新的身体部分。但是现在,研究人员说他们已经做到了这一点:他们已经在组织中发现了一个没有被发现的充满液体的空间网络。这些充满液体的空间被发现在全身的结缔组织中,包括在皮肤表面以下,消化消化道、肺部和泌尿系统,根据一项新的研究结果在3月27日发表在《科学报告》杂志上的一项新研究表明,周围的肌肉和周围的肌肉。此前研究人员曾认为这些组织层是胶原蛋白的密集“壁”,胶原是在结缔组织中发现的一种强大的结构蛋白。

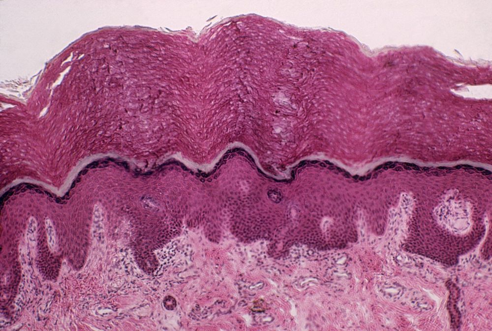
  科学家们发现了这个新的器官,它由充满液体的空间组成,在身体的结缔组织中,包括在皮肤的真皮中,上面显示的是这个图像底部的浅粉色层。

  纽约大学朗格尼医学院的病理学教授Neil Theise博士说:但是这项新发现揭示了,与其说这是一堵“墙”,不如说是一种“开放的、充满液体的高速公路”,该组织包含了相互连接的、充满液体的空间,这些空间由厚厚的胶原蛋白“束”支撑。研究人员说这些充满液体的空间已经被遗忘了几十年,因为它们没有出现在研究人员用来窥视细胞世界的标准显微镜下。当科学家准备这些幻灯片的组织样本时,他们会用化学物质来处理样品,将它们切成薄片,并将其染色以突出其关键特征。但这个固定过程会排出液体,导致新发现的充满液体的空间坍塌。

  研究人员并没有使用这些幻灯片,而是利用一种新的成像技术,在显微镜下观察活体组织,从而发现了这些充满液体的空间。研究人员称这个充满流体的空间是一个器官——间质。然而这是一个非官方的区别,据《生活科学》杂志报道,随着越来越多的研究人员对其进行研究,对于身体部分正式成为一个器官,人们需要围绕这一想法达成共识。他还说这些充满流体的空间的存在也应该得到其他团体的证实。该研究结果可能会对包括癌症研究在内的多种医学领域产生影响。例如研究结果似乎解释了为什么侵袭这一层组织的癌症肿瘤可以扩散到淋巴结。据研究人员说这是因为这些充满液体的空间是淋巴液的来源,并流入淋巴系统(淋巴是一种含有抗感染白血球的液体)。

  一种新的器官?人体大约有60%的水分。大约三分之二的水是在细胞内发现的,而另外三分之一是在细胞外,被称为“间质”液体。尽管研究人员已经知道单个细胞之间存在液体,但在文献中只描述了一种更大的、连通的间质(在组织中有充满液体的空间)的想法。他说,这项新研究通过在组织内部展示这些结构、充满液体的空间,扩大了间质的概念,并首次将间质定义为一个器官。这项新工作的基础是使用一种相对新技术,称为“基于probebased的共聚焦激光显微镜”或pCLE。该工具结合了内窥镜和激光和传感器,分析反射的荧光模式,并给研究人员以显微镜观察活体组织。

  早在2015年,两个研究的作者大卫Carr-Locke博士和Petros Benias博士,两人在山Sinai-Beth以色列医学中心在纽约市——使用这种技术时看到了一些不寻常的东西在检查一个病人的胆管癌扩散。据报道,他们在组织层发现了一系列不符合任何已知解剖结构的相互连接的空洞。当一位病理学家从这张纸上滑出时,蛀牙就消失了——这一神秘的现象后来被发现是滑脱过程的结果。在这项新研究中,研究人员首先使用pCLE对正在进行手术切除胰脏和胆管的癌症患者。成像技术确实显示了结缔组织中充满液体的空间。当组织样本从体内取出时,它们很快被冷冻起来,这使得充满液体的空间保持开放,这样研究人员就可以在显微镜下看到它们。

  后来研究人员在其他身体部位的结缔组织样本中发现了同样的充满液体的空间,在没有癌症的人群中,Theise说。我看到的组织越多就越意识到它无处不在。研究人员说在日常功能中,充满液体的空间可以起到减震器的作用,保护组织。Theise指出,关于这个充满液体的空间,可能已经有相当多的信息了;只是研究人员“不知道他们在看什么。事实上研究人员计划对科学文献进行一次回顾,对于我们所知道的关于这个(身体部分)的所有东西,但我们不知道知道它。



来源:博科园      编 辑:肖平
声明:本网站新闻版权归煤炭资讯网与作者共同所有,任何网络媒体或个人转载,必须注明“来源:煤炭资讯网(www.cwestc.com)及其原创作者”,否则本网将保留追究其相关法律责任的权利。转载是出于传递更多信息之目的,若本网转载有来源标注错误或侵犯了您的合法权益,请作者持权属证明与本网联系(本网通讯员除外),我们将及时更正、删除,谢谢。 邮箱地址:1017016419@qq.com


声明:本网站新闻版权归煤炭资讯网与作者共同所有,任何网络媒体或个人转载,必须注明"来源:煤炭资讯网(www.cwestc.com)及其原创作者",否则本网将保留追究其相关法律责任的权利。
转载是出于传递更多信息之目的,若本网转载有来源标注错误或侵犯了您的合法权益,请作者持权属证明与本网联系(本网通讯员除外),我们将及时更正、删除,谢谢。 邮箱地址:1017016419@qq.com

总编辑:李光荣    副总编:韩一凡  顾问:王成祥、王金星  主编:欧阳宏  编辑:杨建华(网站监督)、黄永维、曹田升、陈茂春
备案序号:渝ICP备17008517号-1|渝公网安备50010702502224号
电话:(023)68178780、13883284332
煤炭资讯网原中国煤炭新闻网